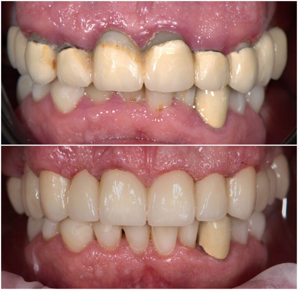
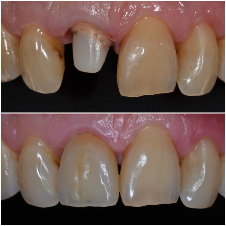
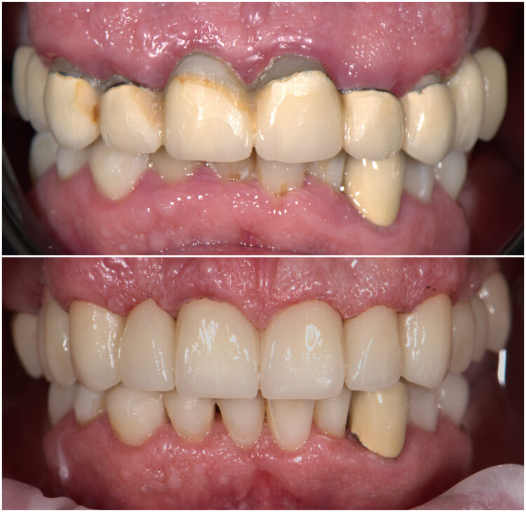
PROTETICKÉ OŠETŘENÍ
Při rozsáhlých ztrátách zubních tkání je nutné zub ošetřit korunkou.
Tam, kde z důvodu velkého defektu není možná rekonstrukce pomocí fotokompozitních výplní, opatříme destruovaný zub korunkou zhotovenou v zubní laboratoři. Na základě otisku vytvoří laborant na modelu přesný tvar zubu, nejčastěji z dentální keramiky. Takto vzniklá náhrada se následně nalepí na Váš zub. Dojde-li k úplné ztrátě celého zubu, dokážeme podobným postupem doplnit korunkovou část zubu na stomatochirurgem zavedený implantát.