STOMATOLOGICKÁ SPOLUPRÁCE

Nabízíme spolupráci i ostatním praktickým zubním lékařům a specialistům v průběhu či po dokončení léčebné terapie. Při spolupráci s lékaři preferujeme převážně elektronickou komunikaci (zasílání rentgenologické dokumentace a fotografií) se souhlasem pacienta v rámci GDPR.

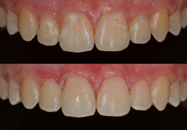
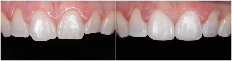
Estetické sanace

Přímé fasety z kompozitních materiálů, korekce tvaru zubů, cervikální defekty, plošné kazy po ortodontické léčbě.

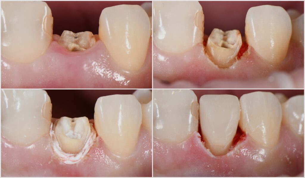
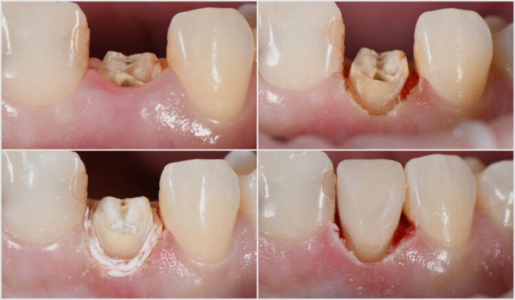
Mikroskopická endodoncie / reendodoncie

Primární nebo sekundární ošetření kořenových kanálků za pomoci operačního mikroskopu.
ZUBY Znojmo

Kotkova 708/1
Znojmo, 669 02
Česká republika


Email

ordinace@zubyznojmo.cz

Provozní doba ordinace

Pondělí
8:00 - 16:00
Úterý
8:00 - 16:00
Středa
8:00 - 16:00
Čtvrtek
8:00 - 16:00
Pátek
8:00 - 14:00
Sobota
ZAVŘENO
Neděle
ZAVŘENO